Friday, August 27, 2010
27 Weeks!
Today I am 27 weeks! 3 months to go! Went to the doctor for a check up and everything is right on track. Im measuring great and they said keep up the good work! Good job Ella!
Bows!
I have figured out how to make bows! I think Im going to need bow making anonymous! Its so fun!
![]() |
| The pink, orange, and the flower are clips the others will be on a headband :) |
Saturday, August 21, 2010
Friday, August 20, 2010
Baby Shower
My baby shower is set for October 9! I have the best friends and family that will be sending more information! I cant wait!
26 weeks and growing!
Today I am 26 weeks :) We are so excited that our sweet baby is growing strong! Got a call from the Doc saying I passed the glucose test but low on iron so I will be starting iron today. Only 14 weeks till the due date and we get to meet our sweet Ella. We are still deciding whether we want to get the 4D sonogram or not, we think it might kinda take the surprise away, but hey they are pretty cool! We will see!
Wednesday, August 18, 2010
Nursery Page
I have made a seperate page on top "Nursey fit for a Princess" where Im going to post all of the update pics of the nursery. Be sure to check it out! Im feeling like such a mom!
Tuesday, August 17, 2010
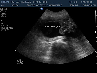
The Star of the Show!
We had our first sonogram at 7 weeks, it was such as amazing feeling to see our sweet little baby for the first time! After trying for so long (it felt like), it was so breathtaking to finally see the miracle of life beginning.
At 20 weeks we saw our sweet baby and found out it was a girl!! We were absolutely shocked because we were so sure it was a boy. Well actually I felt from the beginning it was a girl, but I think Matt talked me into thinking it was a boy... wow what a great surprise.. not that it mattered! But, I get to buy lots of bows and pink now!
Monday, August 16, 2010
Sunday, August 15, 2010
First Post!!
Ok, so here goes nothing! Im slowly learning how to use this blog thing. I wanted to make a blog to show all the updates on The Dorsey Clan, including our precious Ella :) We are on a facinating journey right now, from my baby bump getting bigger to getting the nursery ready, baby showers, and then the best part the arrival of our sweet blessing! I hope that you all enjoy this journey with us as I "attempt" to take you on it as well.
Subscribe to:
Comments (Atom)









